Role of Jak/Stat Signaling in Pancreas Development and the Initiation and Progression of Pancreatic Cancer

Advisor: Prof. Kay-Uwe Wagner
Wayne State University 2018-2024

Overview

The project explores the pivotal role of Janus kinase 1 (JAK1) in the initiation and progression of pancreatic cancer. This research utilizes advanced genetic models, including conditional knockout mice, to dissect the contributions of JAK1 to pancreatic ductal adenocarcinoma (PDAC). By employing a combination of genetic, molecular, and cellular techniques, the study aims to elucidate the mechanistic roles of JAK1 in cancer cell signaling and tumor microenvironment interactions.

Overall, the project seeks to validate JAK1 as a therapeutic target in PDAC, offering new insights into its role in cancer biology. By understanding how JAK1 influences various signaling pathways and cellular behaviors in the context of pancreatic cancer, this research could lead to the development of targeted therapies that inhibit JAK1-mediated processes. The ultimate goal is to contribute to the development of more effective treatment strategies that can improve survival and quality of life for patients suffering from this aggressive cancer.

Graphic illustration of the dual recombinase approach to coactivate oncogenic KRAS from its engineered endogenous locus (FSF-KrasG12D) and tamoxifen-inducible Cre recombinase (CreERT2) in pancreatic cells expressing the Pdx1-Flp transgene. The administration of tamoxifen (Tam) facilitates the conditional knockout of JAK1 in a ligand-inducible and temporally controlled manner. This feature allows the deletion of JAK1 in adolescent and adult mice independent of the initiation of KRASG12D-induced tumorigenesis. Expression of GFP from the Cre/lox reporter transgene (CAG-LSL-GFP) can be used to monitor the Flpmediated expression and functionality of CreERT2 following the administration of Tam.


Key Findings

  • JAK1 deficiency prevents the formation of high-grade preneoplasia and pancreatic tumors.

  • Pancreatic cancer cells expressing active STAT3 have a higher propensity to metastasize.

  • JAK1 is a key signaling node for STAT3, STAT1, and STAT6 activation in cancer cells.

  • CCAAT/enhancer binding protein δ (C/EBPδ) executes pro-tumorigenic functions of JAK1/STAT signaling.

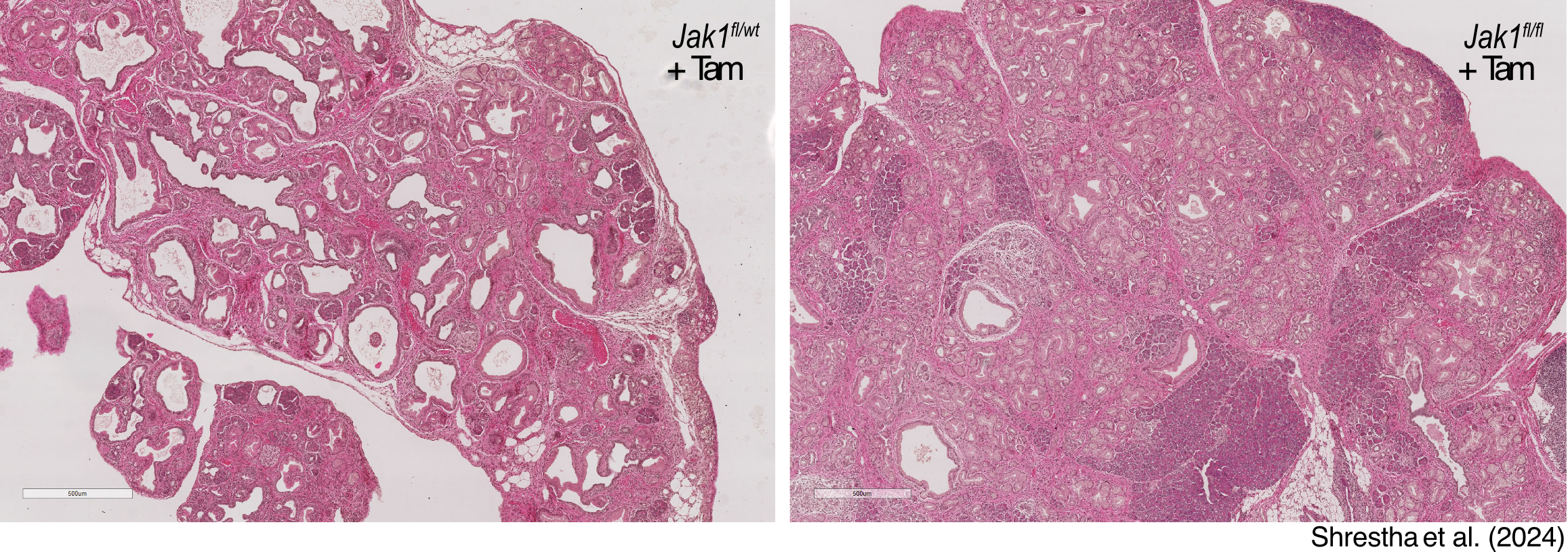
  • Low-magnification images of H&E-stained histologic sections of pancreata highlighting the widespread differences in the histopathology between a JAK1 conditional knockout (Jak1fl/fl + Tam) and a JAK1 expressing control animal (Jak1fl/wt + Tam) at 1 year of age, bars, 500 μm.


    Left: representative immunofluorescent (IF) images of normal and pancreatic tumor tissues co-stained for tyrosine phosphorylated STAT3 (pSTAT3) and pan-cytokeratin (panCK). Right: IF staining of C/EBPδ (CEBPD) in the normal human pancreas and pancreatic ductal adenocarcinoma (PDAC).

    For a detailed exploration of the role of Jak1 in pancreatic ductal adenocarcinoma (PDAC), please refer to our publication in Cell Reports, where a substantial amount of relevant information is included in the supplementary figures. As part of this project, our research has uncovered significant and noteworthy roles of JAK/STAT signaling in the postnatal development of the exocrine pancreas and in the development of pancreatitis in adult mice. We are in the process of preparing a manuscript to report these findings.


    References

    2024

    1. CellReports0524.jpg
      The Janus kinase 1 is critical for pancreatic cancer initiation and progression
      Hridaya Shrestha, Patrick D Rädler, Rayane Dennaoui, and 8 more authors
      Cell Reports, 2024

    2021

    1. Cancer Metastasis R...
      Models of pancreatic ductal adenocarcinoma
      Rayane Dennaoui, Hridaya Shrestha, and Kay-Uwe Wagner
      Cancer and Metastasis Reviews, 2021